ARTHRITIS OF THE ELBOW

Osteoarthritis of the elbow occurs when the cartilage surface of the elbow is worn out or is damaged. This can happen because of a previous injury such as elbow dislocation or fracture. Most commonly, however, it is the result of a normal wearing away of the joint cartilage from age and activity. Osteoarthritis usually affects the weight-bearing joints, such as the hip and knee. The elbow is one of the least affected joints because of its well matched joint surfaces and strong stabilizing ligaments. As a result, the elbow joint can tolerate large forces across it without becoming unstable.

Cause

Some patients who are diagnosed with elbow osteoarthritis have a history of injury to the elbow, such as a fracture that involved the surface of the joint, or an elbow dislocation. The risk for elbow arthritis increases if:

  • The patient needed surgery to repair the injury or reconstruct the joint
  • There is loss of joint cartilage
  • The joint surface cannot be repaired or reconstructed to its preinjury level

Injury to the ligaments resulting in an unstable elbow can also lead to osteoarthritis, even if the elbow surface is not damaged, because the normal forces across the elbow are altered, causing the joint to wear out more rapidly.

In some patients, no single injury to the elbow occurs. Work or outside activities can lead to osteoarthritis of the elbow if the patient places more demands on the joint than it can bear. For example, professional baseball pitchers place unusually high demands on their throwing elbows, which can lead to failure of the stabilizing ligaments. When this occurs, surgical reconstruction may be needed. High-shear forces placed across the joint can lead to cartilage breakdown over a period of years.

The best way to prevent elbow arthritis is to avoid injury to the joint. When injury does occur, it is important to recognize it right away and get treatment. Individuals involved in heavy work or sports activities should maintain muscular strength around the elbow. Proper conditioning and technique should always be used.

Symptoms

The most common symptoms of elbow arthritis are:

  • Pain
  • Loss of range of motion

Both of these symptoms may not occur at the same time. Patients usually report a "grating" or "locking" sensation in the elbow. The "grating" is due to loss of the normal smooth joint surface. This is caused by cartilage damage or wear. The "locking" is caused by loose pieces of cartilage or bone that dislodge from the joint and become trapped between the moving joint surfaces, blocking motion.

Joint swelling may also occur, but this does not usually happen at first. Swelling occurs later, as the disease progresses.

In the later stages of osteoarthritis of the elbow, patients may notice numbness in their ring finger and small finger. This can be caused by elbow swelling or limited range of motion in the joint. The "funny bone" (ulnar nerve) is located in a tight tunnel behind the inner (medial) side of the elbow. Swelling in the elbow joint can put increased pressure on the nerve, causing tingling. If the elbow cannot be moved through its normal range of motion, it may stiffen into a position where it is bent (flexion). This can also cause pressure around the nerve to increase.

Doctor Examination

A doctor can usually diagnose osteoarthritis of the elbow based on symptoms and standard x-rays. X-rays show the arthritic changes. Advanced diagnostic imaging, such as CT (computed tomography) or MRI (magnetic resonance imaging), is typically not needed to diagnose osteoarthritis of the elbow.

arthitis

X-ray showing an elbow with early degenerative changes. Elbow osteoarthritis that occurs without previous injury is more common in men than women. Onset typically occurs in patients 50 years of age or older, but some patients can have symptoms earlier.

Treatment

Treatment options depend on the stage of the disease, prior history, what the patient desires, overall medical condition, and the results of x-rays and other tests.

Nonsurgical Treatment

For the early stages of osteoarthritis of the elbow, the most common treatment is nonsurgical. This includes oral medications to reduce or alleviate pain, physical therapy, and activity modification.

Corticosteroid injections are sometimes used to treat osteoarthritis symptoms. Steroid medication works in most patients, but not everyone. Although the effects of injections are temporary, they can provide some pain relief until symptoms progress enough to need additional treatment.

An alternative to steroids has been the injection of hyaluronic acid in various forms, called viscosupplementation. Viscosupplementation involves injecting substances into the joint to improve the quality of the joint fluid. Viscosupplementation, however, has a limited role in the elbow joint and still requires further medial studies to find out if it is truly beneficial.

Surgical Treatment

When nonsurgical interventions are not enough to control symptoms, surgery may be needed. By the time arthritis can be seen on x-rays, there has been significant wear or damage to the joint surfaces. Even if the wear and bone spurs are severe, arthroscopy can offer a minimally invasive surgical treatment.

Arthroscopy has been shown to provide symptom improvement and improved range of motion. It involves removing any loose bone/cartilage fragments or inflammatory/degenerative tissue in the joint. It also attempts to smooth out irregular surfaces and remove bone spurs. Multiple small incisions are used to perform the surgery. It can be done as an outpatient procedure, and recovery is reasonably rapid.

We have published our experience in elbow arthroscopy and in our hands it is a safe procedure, after reviewing 253 arthroscopies over a 10 year period

Peripheral Nerve Injury After Elbow Arthroscopy: An Analysis of Risk Factors.Jinnah AH, Luo TD, Wiesler ER, Li Z, Poehling GG, Tuohy CJ, Graves BR, Freehill MT, Papadonikolakis A.Arthroscopy. 2018 May;34(5):1447-1452. doi: 10.1016/j.arthro.2017.12.004.PMID: 29398211

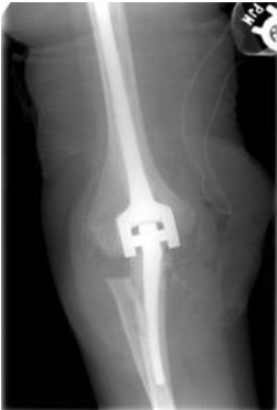
arthritis-xray

X-ray of a patient who underwent elbow joint replacement. If the joint surface has worn away completely, it is unlikely that anything other than a joint replacement would bring about relief. There are several different types of elbow joint replacement available.

In appropriately selected patients, the improvement in pain and function after a joint replacement can be dramatic.

For patients who are too young or too active to have a joint replacement, there are other reasonably good surgical options. If loss of motion is the primary symptom, the surgeon can release the stiffness and smooth out the joint surface. At times, a new surface made from the patient's own body tissues can be made. These procedures can provide some improvements in symptoms and function.   

Research on the Horizon

In patients with loss or damage to specific areas of the elbow joint, a cartilage/bone graft can be considered. The goal of this procedure is to return the joint to its prior smooth appearance and form in an attempt to prevent further deterioration. As the understanding of cartilage growth and regeneration improves, this may allow replacement of larger areas of joint damage or degeneration.

Newer elbow replacements have also been designed with the goals of greater longevity and easier insertion compared with prior designs.